Crossmark

Rev Cuid. 2025; 16(3): e4264

https://doi.org/10.15649/cuidarte.4264

CASE STUDIES

Dos epidemias, un paciente: coinfección SARS-CoV-2 e influenza en Colombia

Two epidemics, one patient: coinfection by SARS-CoV-2 and influenza in Colombia

Duas epidemias, um paciente: coinfecção por SARS-CoV-2 e influenza na Colômbia

ORCID pendiente Especialización en Medicina Interna, Facultad de Salud, Universidad Santiago de Cali, Cali, Colombia. Grupo de Investigación y Educación Clínica de Occidente (GIECDO), Clínica de Occidente S.A., Cali, Colombia.
E-mail: jhon.quintana00@usc.edu.co
Jhon H. Quintana-Ospina
ORCID pendiente Especialización en Medicina Interna, Facultad de Salud, Universidad Santiago de Cali, Cali, Colombia. Grupo de Investigación y Educación Clínica de Occidente (GIECDO), Clínica de Occidente S.A., Cali, Colombia.
E-mail: luis.osorio01@usc.edu.co
Luis M. Osorio-Toro
ORCID pendiente Especialización en Medicina Interna, Facultad de Salud, Universidad Santiago de Cali, Cali, Colombia. Grupo de Investigación y Educación Clínica de Occidente (GIECDO), Clínica de Occidente S.A., Cali, Colombia.
E-mail: gustavo.urriago00@usc.edu.co
Gustavo A. Urriago-Osorio
ORCID pendiente Grupo de Investigación y Educación Clínica de Occidente (GIECDO), Clínica de Occidente S.A., Cali, Colombia.
E-mail: barcojasble@gmail.com
Jasbleidy Posu-Barco
ORCID pendiente Especialización en Medicina Interna, Facultad de Salud, Universidad Santiago de Cali, Cali, Colombia. Grupo de Investigación y Educación Clínica de Occidente (GIECDO), Clínica de Occidente S.A., Cali, Colombia.
E-mail: giovanna.rivas@clinicadeoccidente.com Correspondence Author
Giovanna P. Rivas-Tafurt
ORCID pendiente Programa de Fisioterapia, Facultad de Salud, Universidad Santiago de Cali, Cali, Colombia. Especialización en Medicina Interna, Facultad de Salud, Universidad Santiago de Cali, Cali, Colombia.
E-mail: jorgedaza.epidemiologia@gmail.com
Jorge E. Daza-Arana
ORCID pendiente Especialización en Medicina Interna, Facultad de Salud, Universidad Santiago de Cali, Cali, Colombia. Grupo de Investigación y Educación Clínica de Occidente (GIECDO), Clínica de Occidente S.A., Cali, Colombia.
E-mail: millanonate@gmail.com
José M. Oñate-Gutiérrez

Highlights


 

Como citar este artículo: Quintana-Ospina Jhon H, Osorio-Toro Luis M, Urriago-Osorio Gustavo A, Posu-Barco Jasbleidy, Rivas-Tafurt Giovanna P, Daza-Arana Jorge E, Oñate-Gutiérrez José M. Dos epidemias, un paciente: coinfección SARS-CoV-2 e influenza en Colombia. Revista Cuidarte. 2025;16(3):e4264. https://doi.org/10.15649/cuidarte.4264

Recibido: 28 de julio de 2024
Aceptado: 20 de mayo de 2025
Publicado: 17 de diciembre de 2025

CreativeCommons 

E-ISSN: 2346-3414


Resumen

Introducción: La coinfección por SARS-CoV-2 e Influenza (conocida como Flurona) representa un reto diagnóstico y terapéutico relevante en el contexto pandémico y pospandémico, dada la similitud clínica y mecanismo de transmisión entre ambos virus, pero con diferencias importantes en su tratamiento. La sospecha oportuna de coinfección viral es clave, especialmente en pacientes con comorbilidades o evolución clínica atípica. Se realizó una revisión de literatura en PubMed, Scopus y Google Académico (español e inglés), identificando escasos reportes clínicos documentados en Colombia. Descripción del caso: Paciente masculino de 83 años, con antecedentes cardiovasculares significativos, hospitalizado en unidad de cuidado intensivo por insuficiencia cardíaca congestiva y valvulopatía aórtica severa. Durante la hospitalización desarrolló insuficiencia respiratoria, confirmándose coinfección por Influenza y SARS-CoV-2. Recibió tratamiento con Oseltamivir, oxigenoterapia y toracocentesis terapéutica. Se indicó implantación valvular aórtica transcatéter (TAVI), pero el paciente falleció durante el procedimiento. Conclusión: La coinfección por SARS-CoV-2 e Influenza debe ser considerada en el diagnóstico diferencial de pacientes con compromiso respiratorio agudo, particularmente en contextos de circulación viral simultánea. El reconocimiento oportuno permite una intervención terapéutica dirigida. El abordaje multidisciplinario es fundamental para optimizar el pronóstico en pacientes con comorbilidades complejas.

Palabras Clave: COVID-19; Influenza; Coinfección; Insuficiencia Valvular Aórtica; Implantación de Prótesis Valvular Cardíaca; Mortalidad.


Abstract

Introduction: Coinfection by SARS-CoV-2 and influenza (commonly referred to as "Flurona") presents a significant diagnostic and therapeutic challenge in pandemic and postpandemic settings. Although the two viruses share clinical similarities and transmission routes, their treatments differ substantially. The early suspicion of viral coinfection is crucial, particularly in patients with comorbidities or atypical clinical courses. A literature review was conducted in PubMed, Scopus, and Google Scholar (Spanish and English), identifying few documented clinical reports in Colombia. Case Description: We report the case of an 83-year-old male patient with a significant cardiovascular history, admitted to the intensive care unit for congestive heart failure and severe aortic valve disease. During hospitalization, the patient developed respiratory failure, and coinfection with influenza and SARS-CoV-2 was confirmed. Treatment included oseltamivir, oxygen therapy, and therapeutic thoracentesis. Transcatheter aortic valve implantation was indicated, but the patient died during the procedure. Conclusion: Coinfection by SARS-CoV-2 and influenza should be considered in the differential diagnosis of patients with acute respiratory distress, particularly in contexts of concurrent viral circulation. Prompt recognition enables targeted therapeutic intervention. A multidisciplinary approach is essential to optimize the prognosis in patients with complex comorbidities.

Keywords: COVID-19; Influenza; Coinfection; Aortic Valve Insufficiency; Cardiac Prosthesis Implantation; Mortality.


Resumo

Introdução: A coinfecção por SARS-CoV-2 e Influenza (conhecida como Flurona) representa um desafio diagnóstico e terapêutico significativo no contexto pandêmico e pós-pandêmico, dada a semelhança clínica e o mecanismo de transmissão entre os dois vírus, mas com diferenças importantes em seu tratamento. A suspeita precoce de coinfecção viral é fundamental, especialmente em pacientes com comorbidades ou curso clínico atípico. Uma revisão bibliográfica foi realizada no PubMed, Scopus e Google Acadêmico (espanhol e inglês), identificando poucos relatos clínicos documentados na Colômbia. Descrição do Caso: Um paciente do sexo masculino, de 83 anos, com histórico cardiovascular significativo, foi hospitalizado na unidade de terapia intensiva por insuficiência cardíaca congestiva e doença valvar aórtica grave. Durante a hospitalização, ele desenvolveu insuficiência respiratória e a coinfecção por influenza e SARS-CoV-2 foi confirmada. O paciente recebeu tratamento com oseltamivir, oxigenoterapia e toracocentese terapêutica. O implante transcateter de válvula aórtica (TAVI) foi indicado, mas o paciente faleceu durante o procedimento. Conclusão: A coinfecção por SARS-CoV-2 e influenza deve ser considerada no diagnóstico diferencial de pacientes com desconforto respiratório agudo, particularmente em contexto de circulação viral simultânea. O reconhecimento oportuno permite intervenção terapêutica direcionada. Uma abordagem multidisciplinar é essencial para otimizar o prognóstico em pacientes com comorbidades complexas.

Palavras-Chave: COVID-19; Influenza; Coinfecção; Insuficiência Valvar Aórtica; Implante de Prótese Valvar Cardíaca; Mortalidade.


 

Introducción

El COVID-19 es una enfermedad causada por el coronavirus del síndrome respiratorio agudo severo tipo 2 (SARS-CoV-2), cuyo primer brote fue reportado en diciembre de 2019 en Wuhan, China. Esta nueva entidad viral dio lugar a una pandemia global caracterizada por alta transmisibilidad, considerable morbilidad y una mortalidad significativa, especialmente en pacientes con factores de riesgo como edad avanzada, enfermedades cardiovasculares, respiratorias o inmunosupresión 1.

Por otro lado, la influenza es una infección respiratoria estacional con circulación epidémica habitual en los meses fríos del hemisferio norte y sur, y que comparte mecanismos de transmisión aérea similares a los del SARS-CoV-2, a través de gotas respiratorias y aerosoles. Ambas entidades tienen una presentación clínica caracterizada por fiebre, tos, disnea, cefalea, mialgias y fatiga. Asimismo, pueden compartir hallazgos imagenológicos como infiltrados bilaterales, aunque con ciertas diferencias radiológicas sutiles que pueden orientar el diagnóstico diferencial 2.

Durante los picos de transmisión de la COVID-19, las intervenciones no farmacológicas (uso de mascarillas, confinamiento, higiene de manos) redujeron de forma significativa la circulación de otros virus respiratorios, entre ellos la influenza. Sin embargo, con la disminución de las medidas de control, ha resurgido la circulación concomitante de múltiples virus respiratorios, haciendo más probable la aparición de coinfecciones virales, como la infección simultánea por SARS-CoV-2 e Influenza, fenómeno conocido coloquialmente como Flurona 3.

Aunque esta coinfección ha sido catalogada como poco frecuente, diversos estudios han documentado su asociación con mayor riesgo de hospitalización, necesidad de cuidados intensivos y mortalidad, especialmente en adultos mayores y pacientes con comorbilidades cardiovasculares. Esto genera un reto diagnóstico y terapéutico, ya que la superposición clínica puede retrasar el diagnóstico etiológico y el inicio de un tratamiento dirigido oportuno 4.

Descripción del caso

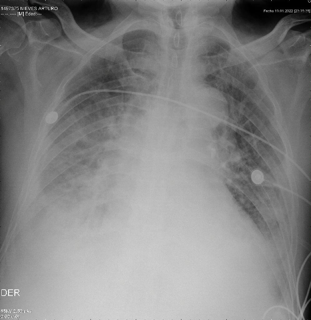
Se presenta el caso de un sujeto de sexo masculino de 83 años, con esquema de vacuna incompleta para COVID-19, sin vacunación para Influenza; adicionalmente con antecedente de falla cardiaca, insuficiencia aórtica severa, extabaquismo e hipertensión arterial. Ingresó al servicio de urgencias el día 13/01/23 por cuadro clínico de un (1) mes de evolución consistente en astenia, adinamia, disnea paroxística nocturna, ortopnea y edema en miembros inferiores. Se realizó diagnóstico de falla cardiaca congestiva descompensada, con edema agudo pulmonar (Figura 1). Se tomó ecocardiograma transtorácico (ECO TT) el 21/01/2023 con reporte de fracción de eyección del ventrículo izquierdo (FEVI) del 55%, válvula aórtica trivalva con esclerosis, insuficiencia severa, anillo 25 mm y válvula mitral con insuficiencia moderada a severa. Se descartó enfermedad coronaria obstructiva significativa por cateterismo cardíaco el 26/01/2023. Posteriormente el paciente fue evaluado en junta cardioquirúrgica donde fue ingresado a protocolo para implantación de válvula aórtica transcatéter (TAVI).

Radiografía de tórax de ingreso 13/01/2023

Figura 1. Radiografía de tórax de ingreso 13/01/2023

El sujeto fue trasladado a la Unidad de Cuidado Intensivo (UCI) el 19/01/2023 y requirió uso de medicamentos inotrópicos, vasodilatadores y diuréticos. Siete (7) días después, por mejoría clínica, fue trasladado al servicio de hospitalización, donde el 30/01/2023 presentó fiebre, sin ninguna otra sintomatología asociada, con reactantes de fase aguda elevados (PCR 117,7 mg/L), linfopenia (240 linfocitos/µL) y aumento del dímero D (21,11 µg/mL), por lo cual se decidió solicitar RT-PCR para SARS-CoV-2, siendo esta positiva (CT Gen N: 15). Cabe destacar que habían transcurrido más de 15 días desde el ingreso inicial a urgencias hasta la aparición de fiebre y síntomas compatibles con COVID-19, por lo que se planteó la posibilidad de infección nosocomial. Entre las variables asociadas a mal pronóstico, el paciente presentó linfopenia, aumento del dímero D, PCR elevada y edad avanzada. Por deterioro clínico, dado por frecuencia respiratoria (FR) elevada (>24 respiraciones/minuto), saturación de oxígeno (SaO2) del 86% y trastorno moderado de oxigenación (PaO2/FIO2 180), el paciente requirió soporte de oxígeno con cánula nasal a 2 l/min, planteándose el inicio de esteroide intravenoso. Se indicó, previo a su inicio, realizar estudios para descartar infección por influenza. El reporte del antígeno y la PCR para influenza fue positivo, confirmándose la coinfección por SARS-CoV-2 e influenza.La Figura 2 ilustra la línea del tiempo detallada de los eventos clave ocurridos durante la estancia hospitalaria del paciente.

Línea de tiempo de los eventos clínicos

Figura 2. Línea de tiempo

Nota: RT-PCR: transcripción inversa de la reacción en cadena de la polimerasa, SARS COV 2: síndrome respiratorio agudo severo tipo 2, PCR: reacción en cadena de la polimerasa, O2: Oxígeno, TAVI: implantación de válvula aórtica transcatéter, UCI: Unidad de Cuidado Intensivo, TACAR: tomografía axial computarizada de alta resolución.

Para el estudio del parénquima pulmonar (Figuras 3a y 3b), se solicitó tomografía axial computarizada de alta resolución de tórax (TACAR) el 01/02/2023, donde se evidenció cardiopatía dilatada, hipertensión pulmonar precapilar, enfermedad arteriosclerótica de arterias coronarias y abundantes derrames pleurales bilaterales, probablemente secundarios a falla cardíaca y sobrecarga hídrica. No se observó neumonía. Se identificaron abundantes ganglios en el mediastino de carácter indeterminado. Debido a los derrames pleurales, se realizó toracentesis diagnóstica y terapéutica, con criterios de trasudado, considerándose su origen en la falla cardíaca (03/02/2023).

Por parte de la coinfección COVID-19 e influenza, se indicó manejo con oseltamivir a dosis de 75 mg vía oral cada 12 horas por 5 días, conforme a las guías IDSA, y se contraindicó el uso de esteroides. El sujeto evolucionó hacia la mejoría (SaO2 96%, FR 16 rpm, FIO2 24%) (Figura 3c), mostrando una evolución clínica favorable. Sin embargo, a pesar de la mejoría, persistía una patología cardiovascular severa que requería intervención. La decisión de someterlo a cirugía cardiovascular fue cuidadosamente discutida en equipo multidisciplinario entre cardiología e infectología, evaluando riesgos y beneficios, considerando la alta probabilidad de complicaciones dado el antecedente reciente de dos infecciones severas. Finalmente, se decidió realizar el procedimiento quirúrgico (TAVI) (09/08/2023). Durante el procedimiento, el paciente presentó paro cardiorrespiratorio y falleció.

Imágenes radiológicas del tórax

Figura 3. Imágenes radiológicas del tórax

Nota: TAC: tomografía axial computarizada.

Se realizó una revisión de la literatura en las bases de datos PubMed, Scopus, ScienceDirect y Google Académico, en los idiomas español e inglés, entre enero de 2020 y junio de 2024. Si bien se han documentado previamente coinfecciones por SARS-CoV-2 e Influenza en Colombia, estos reportes son escasos y limitados en su descripción clínica, lo que resalta la relevancia de comunicar casos adicionales que profundicen en el abordaje diagnóstico y terapéutico.

En este reporte de caso, todos los procedimientos se realizaron de acuerdo con los estándares éticos y bioéticos del Comité Científico de la institución médica y la Declaración de Helsinki de 1964 y sus versiones posteriores. Se obtuvo el consentimiento informado del sujeto del estudio antes de su participación y la publicación de este estudio con las imágenes adjuntas. Este reporte se acoge a las guías internacionales CARE (Case Reports Guidelines). Los datos recogidos en su totalidad se disponen para libre acceso y consulta en Mendeley Data 5.


Discusión

Un nuevo coronavirus que causa enfermedad respiratoria se detectó por primera vez en diciembre de 2019 en Wuhan, China, y se convirtió en una pandemia en un par de meses 1, 5. Sin embargo, el COVID-19 llegó a América Latina en febrero de 2020, el primer caso de esta infección en Colombia se confirmó en marzo de 2020 6, 7. La tasa de mortalidad por COVID-19 en Colombia es del 3,8%, siendo la hipertensión arterial la condición asociada más común, pero también son relevantes la enfermedad pulmonar obstructiva crónica y el hipotiroidismo 8.

Además de condiciones médicas que aumentan la morbilidad y mortalidad en pacientes con COVID-19, también existen infecciones que se asocian a peores desenlaces clínicos. El primer caso reportado de coinfección por SARS-CoV-2 y rinovirus/enterovirus desarrolló neumonía multilobar severa que requirió soporte en la UCI 9. Además, se han descrito casos de coinfección por hongos y bacterias 8; sin embargo, el COVID-19 afecta principalmente los pulmones, puede provocar una falla multiorgánica y la muerte, similar a la influenza 2. Las pautas con respecto al tratamiento de COVID-19 han demostrado ser eficaces en casos moderados a graves de esta enfermedad; sin embargo, pueden ser perjudiciales para pacientes con influenza, por lo cual es un desafío para los trabajadores de la salud investigar estas dos infecciones e impactar en la mortalidad de los pacientes.

El virus se transmite a través del tracto respiratorio causando síntomas respiratorios altos y bajos, hasta producir neumonía 10. Por su fisiopatología se distribuye ampliamente a nivel pulmonar, renal, tracto gastrointestinal, mucosa oral y nasal, generando una respuesta inflamatoria sistémica que desencadena un daño multisistémico. En casos graves, requiere ingreso a cuidado crítico y se asocia con una alta mortalidad por la falla multiorgánica 10.

Uno de los factores que afecta la historia natural de la enfermedad en COVID-19 es la coinfección con otros patógenos respiratorios que puedan complicar el diagnóstico, el tratamiento y el pronóstico, generando un reto a la hora de tomar decisiones clínicas 11. En este contexto, se debe considerar la posibilidad de infecciones nosocomiales, especialmente en pacientes hospitalizados que desarrollan síntomas clínicos después de un tiempo considerable desde su ingreso, como fue el caso de nuestro paciente, quien presentó fiebre y síntomas compatibles con COVID-19 más de 15 días después de su ingreso a urgencias. La coinfección de COVID-19 con bacterias y virus se ha documentado en una proporción del 7% y 3% respectivamente 6. La coinfección por COVID-19 e influenza es rara. Estamos reportando el primer caso clínico de coinfección entre COVID-19 e influenza en nuestro país.

Los estudios de detección informan más casos, lo que sugiere que, a menos que se evalúe activamente a los pacientes con COVID-19, la coinfección permanece sin diagnosticar y es subestimada, más aún dependiendo del método de detección utilizado. Por lo cual es importante tener en cuenta los diagnósticos diferenciales al momento de realizar la valoración del paciente. Un metaanálisis indicó que el 1,2% de los pacientes con COVID-19 tenían una coinfección por influenza 6. Particularmente en Colombia, una revisión narrativa documentó que el virus del dengue, Klebsiella pneumoniae, Mycobacterium tuberculosis, Pneumocystis jirovecii, Cryptococcus neoformans y rinovirus-enterovirus se han reportado como las coinfecciones comunes con el SARS-CoV-2 12.

En Wuhan, China, se describió una incidencia de 0,8% 1, mientras que otros estudios describen una proporción entre 0,24% hasta 44% 7, lo que evidencia una alta variabilidad en la literatura. Al comparar con la evidencia científica, en nuestra región la proporción es menor respecto a casos de coinfección con influenza.

Otro estudio de Kim, et al. 13 describieron 1217 pacientes con síntomas respiratorios; el 9,5% de las muestras fueron positivas para SARS-CoV-2 y el 26,1% positivas para otros microorganismos respiratorios tales como rinovirus, enterovirus, virus sincitial respiratorio y otros coronavirus. Ding et al. 14 incluyó 115 pacientes con infección por SARS-CoV-2, el 4,3% tenía coinfección con influenza. Además, hay otros casos reportados por Khodamoradi et al. 15, de pacientes con neumonía severa por coinfección SARS-CoV-2 e influenza. Lo que hace interpretar que, si se han descrito casos a nivel mundial, pero pocos casos descritos en nuestra población.

El diagnóstico diferencial de ambas enfermedades es complejo, dado que la manifestación clínica de ambas patologías es similar 16, 17. En pacientes con COVID-19 los análisis de sangre evidencian leucopenia y linfopenia, la TAC muestra infiltrados en vidrio esmerilado, desafortunadamente la influenza A y otros virus respiratorios, comparten estas características 18. No obstante, hay casos descritos con hallazgos radiológicos distintos 19. La radiología tiene un papel fundamental en la toma de decisiones clínicas en pacientes con sospecha de COVID-19 20, 21.

La importancia del estudio de la coinfección es que ambos virus son patógenos transportados por el aire y afectan el tracto respiratorio. En cuanto a la fisiopatología, la coinfección de COVID-19 con influenza puede empeorar el pronóstico del paciente debido a la interacción de ambos virus en el sistema respiratorio. El SARS-CoV-2 y la influenza afectan principalmente las células alveolares tipo II (neumocitos AT2), lo que puede provocar daño pulmonar significativo, exacerbando la respuesta inflamatoria y aumentando el riesgo de insuficiencia respiratoria. Además, la coinfección con estos virus se asocia a un mayor riesgo de complicaciones, como la falla multiorgánica, lo que incrementa la mortalidad en este grupo de pacientes 7, lo que explicaría su similitud tanto en fisiopatología como en la presentación clínica. Convirtiéndose en un verdadero reto diagnóstico enfrentarse a pacientes con cuadro clínico e imágenes muy sugestivas de COVID–19, pero con muestras moleculares negativas.

El diagnóstico de influenza se puede realizar por medio de cultivo viral, detección de antígenos y pruebas de ácido nucleico. Siendo el cultivo el método con mayor sensibilidad cercana al 100%, sin embargo, su resultado tarda de 3 a 10 días. La RT-PCR se considera el estándar de oro, con una alta sensibilidad; sin embargo, es costosa y requiere personal especializado. El método de detección de antígeno por ensayo inmunocromatogénico tiene un tiempo de respuesta muy corto (<30 minutos), pero es el menos sensible 4, 22. Lo anterior podría explicar el infradiagnóstico de influenza al usar el antígeno como medio diagnóstico en nuestro medio. Se destaca que el diagnóstico de influenza en nuestro paciente fue inicialmente por antígeno y se confirmó con prueba molecular. Con base en estudios de prevalencia, se ha descrito que la coinfección por virus de influenza tipo A es mayor que el tipo B 23, como ocurrió en nuestro caso. No se han descrito diferencias en mortalidad entre los serotipos de influenza y COVID-19.

Con respecto al tratamiento en la coinfección de COVID-19 e influenza ha sido controversial. Se ha descrito que el manejo con oseltamivir en pacientes con COVID-19 se asoció con un mayor riesgo de mortalidad, siendo este un antiviral utilizado en la infección de la influenza 24. Así como el manejo con esteroides utilizado en COVID-19 se contraindica en la infección por influenza dada la tendencia en el aumento de mortalidad en este grupo 25. Sin embargo, se ha descrito que el tratamiento antiviral con oseltamivir en las primeras 48 horas de la coinfección de COVID-19 e influenza disminuye la carga de la enfermedad, las tasas de mortalidad y de hospitalización 26. En nuestro caso se contraindicó el uso de esteroide por la infección por influenza y se indicó tratamiento con oseltamivir con respuesta clínica satisfactoria a esta conducta.

Según la recomendación de la Asociación Colombiana de Infectología (ACIN), respecto al tiempo de espera de cirugía electiva después de haber tenido una infección por SARS-CoV-2/COVID-19, este debe ser de 42 días dado su alto riesgo de mortalidad. Una publicación de Wang et al. 17 evidenció que las complicaciones postquirúrgicas de los pacientes que padecían COVID-19 con compromiso pulmonar en los primeros 30 días eran aproximadamente del 50% y la mortalidad podía llegar hasta un 38%, comparado con los pacientes que no presentaban compromiso pulmonar, en quienes fue del 24% 27. Por otro lado, es importante destacar que los pacientes diagnosticados con COVID-19 que están programados o van a someterse a cirugía cardíaca enfrentan mayor morbilidad y mortalidad tanto durante como después de la intervención 13, 28.

Esto se debe en gran parte tanto a la condición cardíaca de base como al estado de respuesta inflamatoria sistémica característica de la infección por el virus, que contribuye, entre otras cosas, al aumento en la demanda cardiometabólica debido a lesiones en el endotelio vascular y los miocitos cardíacos. Además, factores como la necesidad de ventilación mecánica y el proceso de isquemia-reperfusión también contribuyen a esta mayor morbilidad y mortalidad en estos pacientes 28.

A pesar de las infecciones graves recientes, la decisión de proceder con la cirugía cardiovascular fue tomada tras una exhaustiva valoración multidisciplinaria, que consideró la gravedad de la patología cardiovascular subyacente del paciente. La insuficiencia valvular aórtica severa y la insuficiencia cardíaca congestiva representaban una amenaza inmediata para la vida, y la intervención quirúrgica era crucial para intentar mejorar la función cardiovascular y reducir el riesgo de complicaciones fatales a largo plazo. La opción de no realizar la cirugía hubiera implicado un alto riesgo de deterioro progresivo de la función cardíaca, lo que podría haber resultado en un desenlace aún más desfavorable. Aunque las infecciones recientes y la fase postinfecciosa aumentaron el riesgo, el equipo médico optó por proceder con la intervención, sopesando cuidadosamente los beneficios potenciales de mejorar la función cardiovascular frente a los riesgos inherentes a la coinfección y las complicaciones quirúrgicas. Lamentablemente, el resultado fue fatal, pero la decisión se basó en el juicio clínico sobre la urgencia de la condición cardíaca y la escasa opción de tratamiento sin cirugía.

La comparación con otros reportes de casos ha demostrado que los factores de riesgo como la edad, el género y la presencia de comorbilidades (como hipertensión, diabetes y enfermedades respiratorias crónicas) son determinantes clave en el pronóstico de los pacientes coinfectados. Los estudios indican que las personas mayores y los individuos con condiciones subyacentes tienen un mayor riesgo de sufrir complicaciones graves o mortales debido a estas coinfecciones 29. En nuestra población, la mortalidad relacionada con la coinfección por COVID-19 e influenza parece ser comparable a la observada en otras regiones, aunque con algunas diferencias dependiendo del acceso a tratamientos médicos y la eficacia de las políticas públicas en salud 29.

En resumen, las limitaciones de este reporte incluyen la falta de una muestra más amplia y la variabilidad en los métodos de diagnóstico utilizados en la región. Además, es crucial enfatizar que, a pesar de las limitaciones, este reporte contribuye significativamente al entendimiento de las coinfecciones en el contexto local, proporcionando información valiosa para la toma de decisiones clínicas y el diseño de futuras investigaciones sobre este tema. Las fortalezas de este estudio incluyen la identificación temprana de la coinfección en un paciente crítico y la posibilidad de contribuir a una mejor comprensión de los factores que influyen en los desenlaces de salud en Colombia y América Latina.

 

Conclusión

A pesar de la similitud en síntomas y manifestaciones clínicas entre ambas enfermedades, su manejo y tratamiento pueden variar significativamente. El diagnóstico preciso se ve dificultado por la superposición de síntomas y hallazgos radiológicos. La coinfección, aunque no es común, representa un desafío considerable para los profesionales de la salud debido a sus implicaciones en el tratamiento. La radiología y la detección oportuna juegan un papel crucial. Además, se destaca la importancia de la precaución en procedimientos post-diagnóstico, como las cirugías, debido al alto riesgo de complicaciones y mortalidad asociadas. Es imperativo un abordaje multidisciplinario para optimizar los desenlaces clínicos en estos pacientes, así como la necesidad de la sospecha temprana de las coinfecciones para llegar a un diagnóstico y tratamiento oportuno.

Conflictos de interés: Los autores declaran no tener conflicto de intereses.

Financiamiento: Autofinanciado.

 

Referencias

X

Referencias

Balla M, Merugu GP, Patel M, Koduri NM, Gayam V, Adapa S, et al. COVID-19, Modern Pandemic: A Systematic Review From Front-Line Health Care Providers’ Perspective. J Clin Med Res. 2020;12(4):215. https://doi.org/10.14740/jocmr4142

X

Referencias

Talbot HK, Martin ET, Gaglani M, Middleton DB, Ghamande S, Silveira FP, et al. Coronavirus disease 2019 (COVID-19) Versus Influenza in Hospitalized Adult Patients in the United States: Differences in Demographic and Severity Indicators. Clin Infect Dis. 2021;73(12):2240–7. https://doi.org/10.1093/cid/ciab123

X

Referencias

Suescún-Carrero SH, Valdivieso-Bohórquez SJ, Ávila-Panche S, Ucros-Álvarez A, Rolon-Rojas MJ. Coinfección por SARS-CoV-2 con otros virus en pacientes de instituciones de salud del departamento de Boyacá, 2021–2022. Salud UIS. 2024;56:e24041. https://doi.org/10.18273/saluduis.56.e:24041

X

Referencias

Dadashi M, Khaleghnejad S, Abedi Elkhichi P, Goudarzi M, Goudarzi H, Taghavi A, et al. COVID-19 and Influenza Co-infection: A Systematic Review and Meta-Analysis. Front Med (Lausanne). 2021;8. https://doi.org/10.3389/fmed.2021.681469

X

Referencias

Quintana-Ospina JH, Osorio-Toro LM, Urriago-Osorio GA, Posu-Barco J, Rivas-Tafurt GP, Daza-Arana JE, et al. Double Challenge: COVID-19 meets the Influenza – First case report in Colombia. Mendeley Data. 2024;V1. https://doi.org/10.17632/2mfz5bxbh6.1

X

Referencias

Lansbury L, Lim B, Baskaran V, Lim WS. Co-infections in people with COVID-19: a systematic review and meta-analysis. J Infect. 2020;81(2):266–75. https://doi.org/10.1016/j.jinf.2020.05.046

X

Referencias

Dadashi M, Khaleghnejad S, Abedi Elkhichi P, Goudarzi M, Goudarzi H, Taghavi A, et al. COVID-19 and Influenza Co-infection: A Systematic Review and Meta-Analysis. Front Med (Lausanne). 2021;8:681469. https://doi.org/10.3389/fmed.2021.681469

X

Referencias

Carcamo Molina LM, Tejeda-Camargo MJ, Castro Clavijo JA, Montoya LM, Barrezueta-Solano LJ, Cardona-Montoya S, et al. Características clínicas y sociodemográficas de pacientes fallecidos por COVID-19 en Colombia. Revista Repertorio de Medicina y Cirugía. 2020;45–51. https://doi.org/10.31260/repertmedcir.01217372.1077

X

Referencias

Orozco-Hernández JP, Montoya-Martínez JJ, Pacheco-Gallego MC, Céspedes-Roncancio M, Porras-Hurtado GL. Coinfección por SARS-CoV-2 y rinovirus-enterovirus en una paciente adulta joven críticamente enferma en Colombia. Biomédica. 2020;40(2):34–43. https://doi.org/10.7705/biomedica.5516

X

Referencias

Shereen MA, Khan S, Kazmi A, Bashir N, Siddique R. COVID-19 infection: Origin, transmission, and characteristics of human coronaviruses. J Adv Res. 2020;24:91–8. https://doi.org/10.1016/j.jare.2020.03.005

X

Referencias

Manta B, Sarkisian AG, García-Fontana B, Pereira-Prado V. Fisiopatología de la enfermedad COVID-19. Odontoestomatologia. 2022;24(39). https://doi.org/10.22592/ode2022n39e312

X

Referencias

Dueñas D, Daza J, Liscano Y. Coinfections and Superinfections Associated with COVID-19 in Colombia: A Narrative Review. Medicina (Kaunas). 2023;59(7):1336. https://doi.org/10.3390/medicina59071336

X

Referencias

Kim D, Quinn J, Pinsky B, Shah NH, Brown I. Rates of Co-infection Between SARS-CoV-2 and Other Respiratory Pathogens. JAMA. 2020;323(20):2085. https://doi.org/10.1001/jama.2020.6266

X

Referencias

Ding Q, Lu P, Fan Y, Xia Y, Liu M. The clinical characteristics of pneumonia patients coinfected with 2019 novel coronavirus and influenza virus in Wuhan, China. J Med Virol. 2020;92(9):1549–55. https://doi.org/10.1002/jmv.25781

X

Referencias

Khodamoradi Z, Moghadami M, Lotfi M. Co-infection of Coronavirus Disease 2019 and Influenza A: A Report from Iran. Arch Iran Med. 2020;23(4):239–43. https://doi.org/10.34172/aim.2020.04

X

Referencias

Chen N, Zhou M, Dong X, Qu J, Gong F, Han Y, et al. Epidemiological and clinical characteristics of 99 cases of 2019 novel coronavirus pneumonia in Wuhan, China: a descriptive study. Lancet. 2020;395(10223):507–13. https://doi.org/10.1016/S0140-6736(20)30211-7

X

Referencias

Wang D, Hu B, Hu C, Zhu F, Liu X, Zhang J, et al. Clinical Characteristics of 138 Hospitalized Patients With 2019 Novel Coronavirus–Infected Pneumonia in Wuhan, China. JAMA. 2020;323(11):1061. https://doi.org/10.1001/jama.2020.1585

X

Referencias

Sullivan SJ, Jacobson RM, Dowdle WR, Poland GA. 2009 H1N1 influenza. Mayo Clin Proc. 2010;85(1):64–76. https://doi.org/10.4065/mcp.2009.0588

X

Referencias

Lamers MM, Haagmans BL. SARS-CoV-2 pathogenesis. Nat Rev Microbiol. 2022;20:270–284. https://doi.org/10.1038/s41579-022-00713-0

X

Referencias

Martínez Chamorro E, Díez Tascón A, Ibáñez Sanz L, Ossaba Vélez S, Borruel Nacenta S. Diagnóstico radiológico del paciente con COVID-19. Radiologia. 2021;63(1):56. https://doi.org/10.1016/j.rx.2020.11.001

X

Referencias

Organización Mundial de la Salud. Influenza (seasonal) [Internet]. Ginebra: OMS; 2021. Disponible en: https://www.who.int/health-topics/influenza-seasonal

X

Referencias

Krammer F, Smith GJD, Fouchier RAM, Peiris M, Kedzierska K, Doherty PC, et al. Influenza. Nat Rev Dis Primers. 2018;4:1–21. https://doi.org/10.1038/s41572-018-0002-y

X

Referencias

Kalil AC, Thomas PG. Influenza virus-related critical illness: pathophysiology and epidemiology. Crit Care. 2019;23(1):258. https://doi.org/10.1186/s13054-019-2539-x

X

Referencias

Chotpitayasunondh T, Fischer TK, Heraud JM, Hurt AC, Monto AS, Osterhaus A, et al. Influenza and COVID-19: What does co-existence mean? Influenza Other Respir Viruses. 2021;15(3):407–12. https://doi.org/10.1111/irv.12824

X

Referencias

O’Sullivan S, Torres A, Rodriguez A, Martin-Loeches I. Influenza management with new therapies. Curr Opin Pulm Med. 2020;26(3):215–21. https://doi.org/10.1097/MCP.0000000000000667

X

Referencias

Mancilla-Galindo J, García-Méndez JÓ, Márquez-Sánchez J, Reyes-Casarrubias RE, Aguirre-Aguilar E, Rocha-González HI, et al. All-cause mortality among patients treated with repurposed antivirals and antibiotics for COVID-19 in Mexico City: A real-world observational study. EXCLI J. 2021;20:199. https://doi.org/10.17179/excli2021-3413

X

Referencias

Díaz-Castrillón CE, Cortés N, Rey S, Pineda M, Díaz-Castrillón JF, Sierra S. Percepción de la pandemia COVID-19 en los servicios de cirugía en Colombia. Revista Colombiana de Cirugía. 2020;35(2):290–301. https://www.redalyc.org/articulo.oa?id=355563193021

X

Referencias

Gupta AK, Leslie A, Hewitt JN, Kovoor JG, Ovenden CD, Edwards S, et al. Cardiac surgery on patients with COVID-19: a systematic review and meta-analysis. ANZ J Surg. 2022;92(5):1007–14. https://doi.org/10.1111/ans.17667

X

Referencias

Creswell JW. Research Design: Qualitative, Quantitative, and Mixed Methods Approaches. 3rd ed. SAGE Publications; 2012.

  1. Balla M, Merugu GP, Patel M, Koduri NM, Gayam V, Adapa S, et al. COVID-19, Modern Pandemic: A Systematic Review From Front-Line Health Care Providers’ Perspective. J Clin Med Res. 2020;12(4):215. https://doi.org/10.14740/jocmr4142

  2. Talbot HK, Martin ET, Gaglani M, Middleton DB, Ghamande S, Silveira FP, et al. Coronavirus disease 2019 (COVID-19) Versus Influenza in Hospitalized Adult Patients in the United States: Differences in Demographic and Severity Indicators. Clin Infect Dis. 2021;73(12):2240–7. https://doi.org/10.1093/cid/ciab123

  3. Suescún-Carrero SH, Valdivieso-Bohórquez SJ, Ávila-Panche S, Ucros-Álvarez A, Rolon-Rojas MJ. Coinfección por SARS-CoV-2 con otros virus en pacientes de instituciones de salud del departamento de Boyacá, 2021-2022. Salud UIS. 2024;56:e24041. https://doi.org/10.18273/saluduis.56.e:24041

  4. Dadashi M, Khaleghnejad S, Abedi Elkhichi P, Goudarzi M, Goudarzi H, Taghavi A, et al. COVID-19 and Influenza Co-infection: A Systematic Review and Meta-Analysis. Front Med (Lausanne). 2021;8. https://doi.org/10.3389/fmed.2021.681469

  5. Quintana-Ospina JH, Osorio-Toro LM, Urriago-Osorio GA, Posu-Barco J, Rivas-Tafurt GP, Daza-Arana JE, et al. Double Challenge: COVID-19 meets the Influenza – First case report in Colombia. Mendeley Data. 2024;V1. https://doi.org/10.17632/2mfz5bxbh6.1

  6. Lansbury L, Lim B, Baskaran V, Lim WS. Co-infections in people with COVID-19: a systematic review and meta-analysis. J Infect. 2020;81(2):266–75. https://doi.org/10.1016/j.jinf.2020.05.046

  7. Dadashi M, Khaleghnejad S, Abedi Elkhichi P, Goudarzi M, Goudarzi H, Taghavi A, et al. COVID-19 and Influenza Co-infection: A Systematic Review and Meta-Analysis. Front Med (Lausanne). 2021;8:681469. https://doi.org/10.3389/fmed.2021.681469

  8. Carcamo Molina LM, Tejeda-Camargo MJ, Castro Clavijo JA, Montoya LM, Barrezueta-Solano LJ, Cardona-Montoya S, et al. Características clínicas y sociodemográficas de pacientes fallecidos por COVID-19 en Colombia. Revista Repertorio de Medicina y Cirugía. 2020:45–51. https://doi.org/10.31260/repertmedcir.01217372.1077

  9. Orozco-Hernández JP, Montoya-Martínez JJ, Pacheco-Gallego MC, Céspedes-Roncancio M, Porras-Hurtado GL. Coinfección por SARS-CoV-2 y rinovirus-enterovirus en una paciente adulta joven críticamente enferma en Colombia. Biomédica. 2020;40(2):34–43. https://doi.org/10.7705/biomedica.5516

  10. Shereen MA, Khan S, Kazmi A, Bashir N, Siddique R. COVID-19 infection: Origin, transmission, and characteristics of human coronaviruses. J Adv Res. 2020;24:91–8. https://doi.org/10.1016/j.jare.2020.03.005

  11. Manta B, Sarkisian AG, García-Fontana B, Pereira-Prado V. Fisiopatología de la enfermedad COVID-19. Odontoestomatologia. 2022;24(39). https://doi.org/10.22592/ode2022n39e312

  12. Dueñas D, Daza J, Liscano Y. Coinfections and Superinfections Associated with COVID-19 in Colombia: A Narrative Review. Medicina (Kaunas). 2023;59(7):1336. https://doi.org/10.3390/medicina59071336

  13. Kim D, Quinn J, Pinsky B, Shah NH, Brown I. Rates of Co-infection Between SARS-CoV-2 and Other Respiratory Pathogens. JAMA. 2020;323(20):2085. https://doi.org/10.1001/jama.2020.6266

  14. Ding Q, Lu P, Fan Y, Xia Y, Liu M. The clinical characteristics of pneumonia patients coinfected with 2019 novel coronavirus and influenza virus in Wuhan, China. J Med Virol. 2020;92(9):1549–55. https://doi.org/10.1002/jmv.25781

  15. Khodamoradi Z, Moghadami M, Lotfi M. Co-infection of Coronavirus Disease 2019 and Influenza A: A Report from Iran. Arch Iran Med. 2020;23(4):239–43. https://doi.org/10.34172/aim.2020.04

  16. Chen N, Zhou M, Dong X, Qu J, Gong F, Han Y, et al. Epidemiological and clinical characteristics of 99 cases of 2019 novel coronavirus pneumonia in Wuhan, China: a descriptive study. Lancet. 2020;395(10223):507–13. https://doi.org/10.1016/S0140-6736(20)30211-7

  17. Wang D, Hu B, Hu C, Zhu F, Liu X, Zhang J, et al. Clinical Characteristics of 138 Hospitalized Patients With 2019 Novel Coronavirus–Infected Pneumonia in Wuhan, China. JAMA. 2020;323(11):1061. https://doi.org/10.1001/jama.2020.1585

  18. Sullivan SJ, Jacobson RM, Dowdle WR, Poland GA. 2009 H1N1 influenza. Mayo Clin Proc. 2010;85(1):64–76. https://doi.org/10.4065/mcp.2009.0588

  19. Lamers MM, Haagmans BL. SARS-CoV-2 pathogenesis. Nat Rev Microbiol. 2022;20:270–284. https://doi.org/10.1038/s41579-022-00713-0

  20. Martínez Chamorro E, Díez Tascón A, Ibáñez Sanz L, Ossaba Vélez S, Borruel Nacenta S. Diagnóstico radiológico del paciente con COVID-19. Radiologia. 2021;63(1):56. https://doi.org/10.1016/j.rx.2020.11.001

  21. Organización Mundial de la Salud. Influenza (seasonal) [Internet]. Ginebra: OMS; 2021. Consulta: Julio 03, 2024. Disponible en: https://www.who.int/health-topics/influenza-seasonal

  22. Krammer F, Smith GJD, Fouchier RAM, Peiris M, Kedzierska K, Doherty PC, et al. Influenza. Nature Reviews Disease Primers. 2018;3(4):1–21. https://doi.org/10.1038/s41572-018-0002-y

  23. Kalil AC, Thomas PG. Influenza virus-related critical illness: pathophysiology and epidemiology. Crit Care. 2019;23(1):258. https://doi.org/10.1186/s13054-019-2539-x

  24. Chotpitayasunondh T, Fischer TK, Heraud JM, Hurt AC, Monto AS, Osterhaus A, et al. Influenza and COVID-19: What does co-existence mean? Influenza Other Respir Viruses. 2021;15(3):407–12. https://doi.org/10.1111/irv.12824

  25. O’Sullivan S, Torres A, Rodriguez A, Martin-Loeches I. Influenza management with new therapies. Curr Opin Pulm Med. 2020;26(3):215–21. https://doi.org/10.1097/MCP.0000000000000667

  26. Mancilla-Galindo J, García-Méndez JÓ, Márquez-Sánchez J, Reyes-Casarrubias RE, Aguirre-Aguilar E, Rocha-González HI, et al. All-cause mortality among patients treated with repurposed antivirals and antibiotics for COVID-19 in Mexico City: A real-world observational study. EXCLI J. 2021;20:199. https://doi.org/10.17179/excli2021-3413

  27. Díaz-Castrillón CE, Cortés N, Rey S, Pineda M, Díaz-Castrillón JF, Sierra S. Percepción de la pandemia COVID-19 en los servicios de cirugía en Colombia. Revista Colombiana de Cirugía. 2020;35(2):290–301. https://www.redalyc.org/articulo.oa?id=355563193021

  28. Gupta AK, Leslie A, Hewitt JN, Kovoor JG, Ovenden CD, Edwards S, et al. Cardiac surgery on patients with COVID-19: a systematic review and meta-analysis. ANZ J Surg. 2022;92(5):1007–14. https://doi.org/10.1111/ans.17667

  29. Creswell JW. Research Design: Qualitative, Quantitative, and Mixed Methods Approaches. 3rd ed. SAGE Publications; 2012.